Científicos de la Universidad de Medicina del estado de Nueva York en Estados Unidos, han identificado un nuevo tejido conectivo conocido como Intersticio, el cual se encuentra debajo de la mayoría de los órganos más importantes de cuerpo humano, el cual tiene un papel importante en la propagación de muchas enfermedades crónicas degenerativas. Dicho estudio fue publicado el 27 de marzo en la revista Nature.

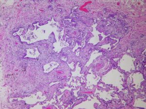
El trabajo fue realizado por el Dr.Neil Theise y su equipo de investigación en donde utilizando endomicroscopía confocal con láser (pCLE) con fluoresceína como medio de contraste, lograron demostrar un patrón reticular especializado de fascículos compuestos de fibras colágenas y elásticas que están revestidos por células similares a los fibroblastos, en su interior estas estructuras, están llenas de líquidos que desembocan a capilares linfáticos,
Este patrón se repitió en los principales órganos que están relacionado con la eliminación de los desechos y sustancias en el cuerpo humano, tracto gastrointestinal ,hepatobiliar ,vejiga urinaria, piel, sistema vascular y cardiorespiratorio.
Según un artículo publicado en Scientific Reports Estas estructuras anatómicas (intersticio) pueden ser importantes en el comportamiento de la mayoría de las enfermedades importantes como la metástasis del cáncer, edema, y fibrosis.
